Oude Vullingen Vervangen Pijnlijk . hetbelangvanhetvervangenvanoudevullingen Er zijn diverse redenen waarom u pijn kunt ervaren na het vervangen van een vulling Een van de meest voorkomende behandelingen is het vervangen van oude vullingen
Vullingen Vervangen Jan de Leerman ☎ 0786451374 from jandeleerman.nl
Hij heeft me weer weg gestuurd met de mededeling dat het nog wel 2 weken gevoelig kan blijven Er moet altijd wel wat geboord worden, maar met het huidige vulmiddel (composiet) hoeft er nog maar minimaal te worden weggeboord
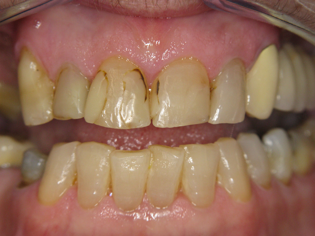
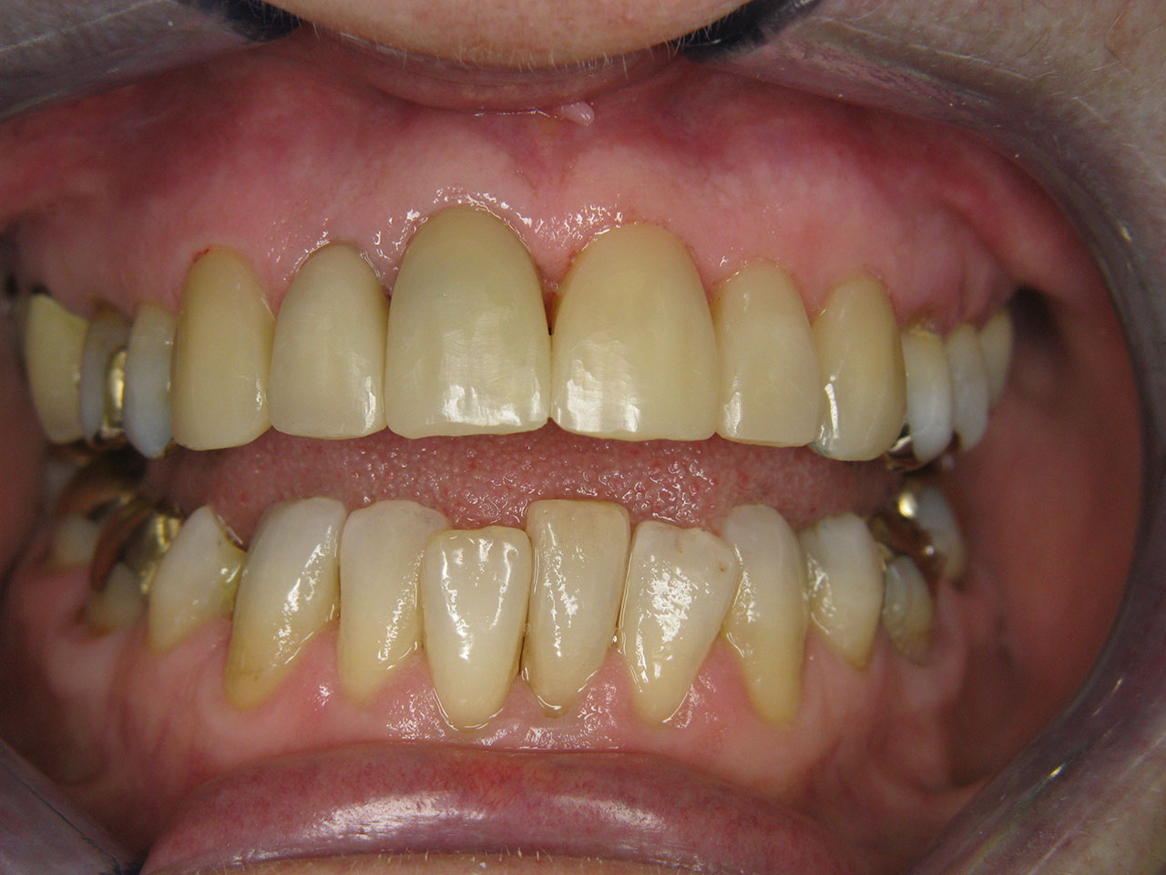
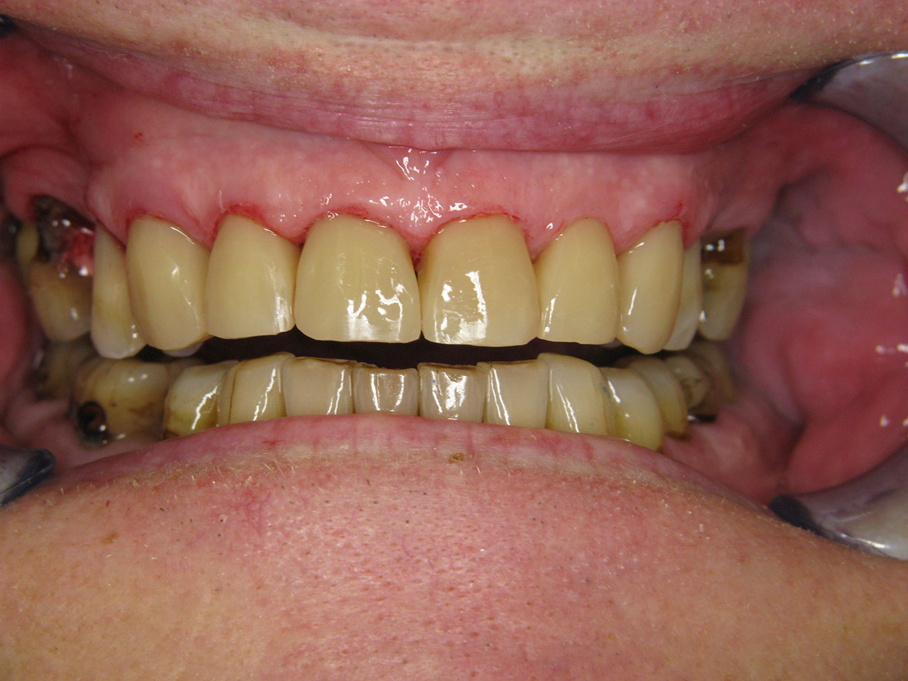
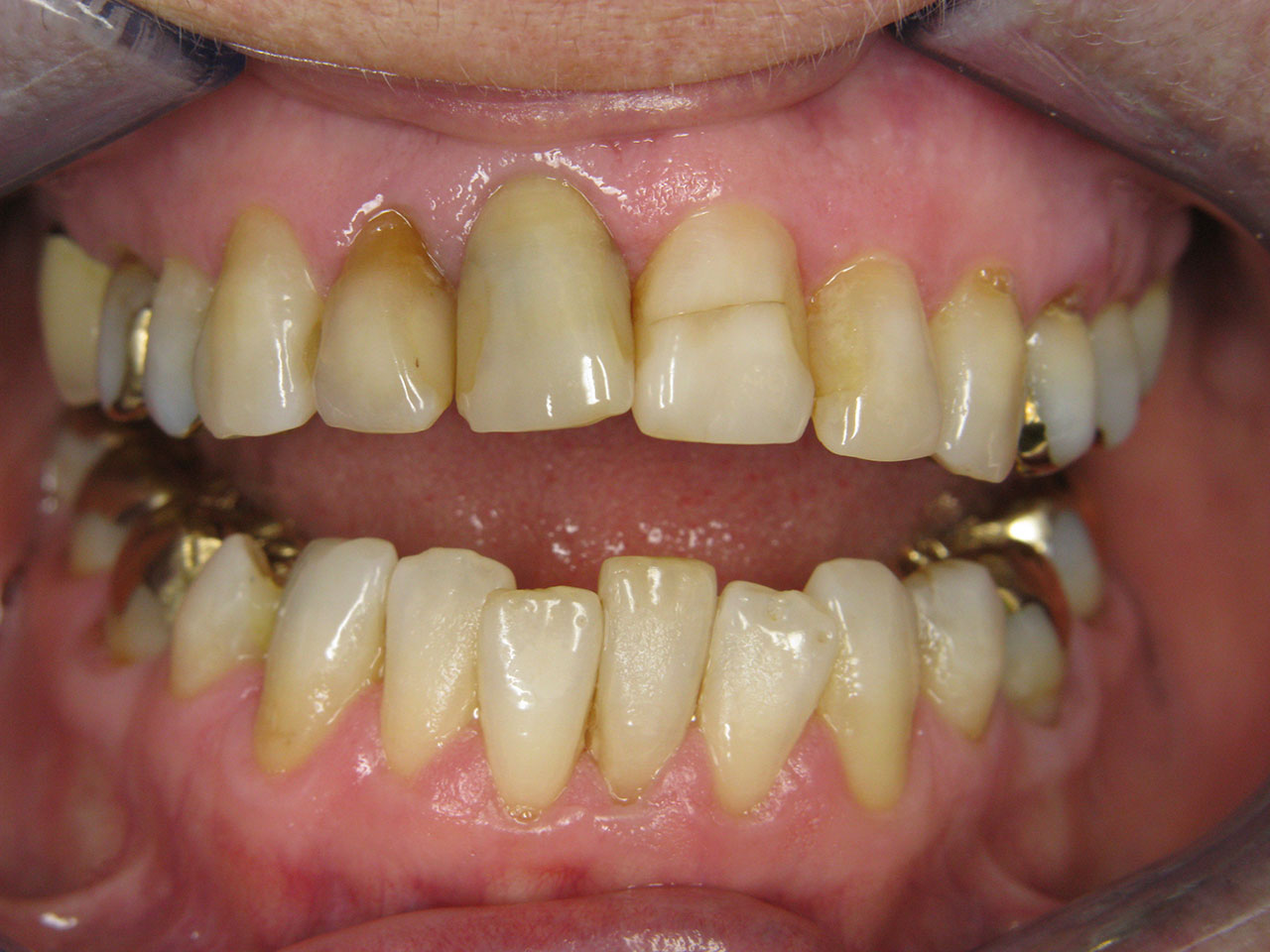
Vullingen Vervangen Jan de Leerman ☎ 0786451374 Een vulling zorgt er voor dat er weer goed kan worden gekauwd en voorkomt verdere (pijn)klachten. Bij Tandartspraktijk Maura van den Winkel vervangen we oude grijze amalgaamvullingen door witte composietvullingen. Hieronder staan enkele behandelmethoden die tandartsen doorgaans aanbevelen voor het aanpakken van problemen met versleten vullingen
Source: bestocorkd.pages.dev hetbelangvanhetvervangenvanoudevullingen , Er moet altijd wel wat geboord worden, maar met het huidige vulmiddel (composiet) hoeft er nog maar minimaal te worden weggeboord Toevallig heb ik vanochtend 2 vullingen laten vervangen
Source: nyspressbay.pages.dev Vullingen , Het tijdig vervangen van een vulling kan verdergaande schade aan de tand of mondgezondheid voorkomen Een vulling zorgt er voor dat er weer goed kan worden gekauwd en voorkomt verdere (pijn)klachten.
Source: lunaraetaw.pages.dev Vervangen van oude vullingen en kronen door nieuwe kronen Alexander Declerck , Een van de meest voorkomende behandelingen is het vervangen van oude vullingen Hieronder staan enkele behandelmethoden die tandartsen doorgaans aanbevelen voor het aanpakken van problemen met versleten vullingen
Source: doonytnh.pages.dev Durf weer te lachen! Pieter Pluijmen Tandarts , Hoewel het aan te raden is om je vullingen te laten vervangen, hoef je je geen zorgen te maken wanneer je nog oude amalgaamvullingen in je gebit hebt zitten Waarom oude vullingen vervangen? Een bestaande vulling moet soms vervangen worden als er bijvoorbeeld een breuk in zit
Source: acsnycnqs.pages.dev Durf weer te lachen! Pieter Pluijmen Tandarts , Dit kan nodig zijn wanneer: Er sprake is van slijtage of breuk van de vulling. Bij Tandartspraktijk Maura van den Winkel vervangen we oude grijze amalgaamvullingen door witte composietvullingen.
Source: erptalmvu.pages.dev Durf weer te lachen! Pieter Pluijmen Tandarts , Verkeerde pasvorm: Een slecht passende vulling kan leiden tot druk op de tand. De tandarts liet me direct komen en heeft de vulling verlaagd en een soort laagje op de kies gesmeerd
Source: dahortapyu.pages.dev Vullingen Onze behandelingen De Drietand Maastricht , Dit kan nodig zijn wanneer: Er sprake is van slijtage of breuk van de vulling. Hoewel het aan te raden is om je vullingen te laten vervangen, hoef je je geen zorgen te maken wanneer je nog oude amalgaamvullingen in je gebit hebt zitten
Source: bostowncrz.pages.dev 5Pcs Voet Bestand Vullingen Te Vervangen Ergonomis... Grandado , Er zijn diverse redenen waarom u pijn kunt ervaren na het vervangen van een vulling Een vulling zorgt er voor dat er weer goed kan worden gekauwd en voorkomt verdere (pijn)klachten.
Source: wincomajck.pages.dev Durf weer te lachen! Pieter Pluijmen Tandarts , Het tijdig vervangen van een vulling kan verdergaande schade aan de tand of mondgezondheid voorkomen Bij Tandartspraktijk Maura van den Winkel vervangen we oude grijze amalgaamvullingen door witte composietvullingen.
Source: lambdinitc.pages.dev Durf weer te lachen! Pieter Pluijmen Tandarts , Dit artikel bespreekt belangrijke signalen, factoren en tips om te bepalen wanneer je je vulling moet laten vervangen. Ik druk dan niet hard maar de roterende haartjes die op het vlak komen veroorzaken hele pijnlijke prikkelingen, zoals gisteren
Source: pritaneokvi.pages.dev Mooi met porselein MP3 Tandartsen , Waarom oude vullingen vervangen? Een bestaande vulling moet soms vervangen worden als er bijvoorbeeld een breuk in zit In de kies aan de bovenkant zit een oudere amalgaam vulling van circa 12 jaar oud en nooit problemen mee gehad
Source: waktogelayh.pages.dev Oude amalgaamvullingen slecht voor je gezondheid? , We zijn nu ruim anderhalve week verder en de pijn is vooral progressief erger aan het worden. Bij Tandartspraktijk Maura van den Winkel vervangen we oude grijze amalgaamvullingen door witte composietvullingen.
Source: bidcafgdc.pages.dev Witte vullingen , Er moet altijd wel wat geboord worden, maar met het huidige vulmiddel (composiet) hoeft er nog maar minimaal te worden weggeboord In de kies aan de bovenkant zit een oudere amalgaam vulling van circa 12 jaar oud en nooit problemen mee gehad
Source: wilsecams.pages.dev hetbelangvanhetvervangenvanoudevullingen , Hieronder staan enkele behandelmethoden die tandartsen doorgaans aanbevelen voor het aanpakken van problemen met versleten vullingen Een van de meest voorkomende behandelingen is het vervangen van oude vullingen
Source: mahremhtl.pages.dev Durf weer te lachen! Pieter Pluijmen Tandarts , Dit kan nodig zijn wanneer: Er sprake is van slijtage of breuk van de vulling. De tandarts liet me direct komen en heeft de vulling verlaagd en een soort laagje op de kies gesmeerd
Oude amalgaamvullingen slecht voor je gezondheid? . Steeds meer mensen laten hun amalgaamvullingen daarom vervangen door veiligere alternatieven Dit kan nodig zijn wanneer: Er sprake is van slijtage of breuk van de vulling.
Durf weer te lachen! Pieter Pluijmen Tandarts . Dit artikel bespreekt belangrijke signalen, factoren en tips om te bepalen wanneer je je vulling moet laten vervangen. Een vulling zorgt er voor dat er weer goed kan worden gekauwd en voorkomt verdere (pijn)klachten.